Ωράριο
|
Δευτέρα Τρίτη Πέμπτη |
09.00 με 14.00, 17.00 με 21.00
|
|
Τετάρτη |
17.00 με 21.00 |
|
Παρασκευή |
09.00 με 18.00 |
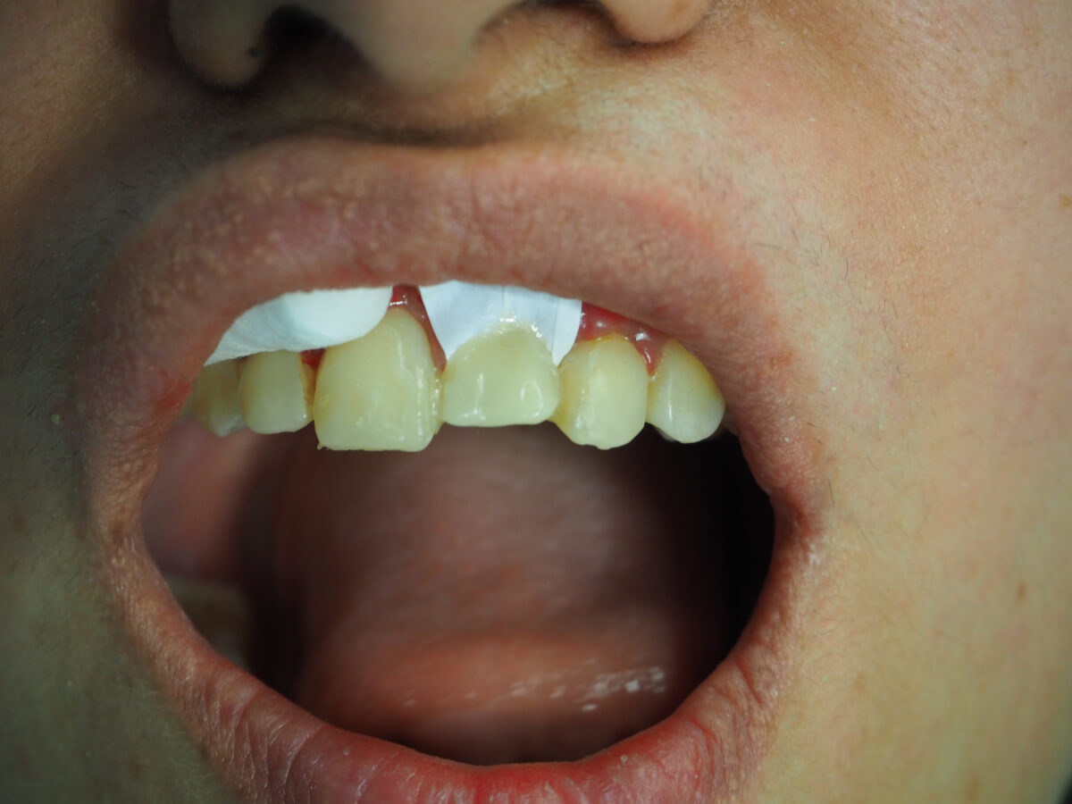
Γέφυρες τύπου Maryland
Γέφυρες τύπου Maryland μεταχειρίζονται σε περίπτωση που θέλουμε να τροχίσουμε το δόντι απο καθόλου εως πολύ λίγο και συγκολλούνται στα στηρίγματα μόνο στο εσωτερικό μέρος.
Στο συγκεκριμένο παράδειγμα, η γέφυρα χτίστηκε απευθείας χωρίς τρόχισμα και χωρίς να το στείλουμε σε οδοντοτεχνίτη.


